关注老年人牙列缺失,守护口腔与全身健康

关注老年人牙列缺失
守护口腔与全身健康
贾春娜 主治医师
河北省口腔正畸专业委员会委员
曾于河北省医科大学第二医院进修两年规培三年
擅长:口腔常见疾病诊治,牙体牙髓,冠修复,活动义齿,种植义齿,口腔正畸


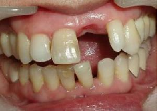
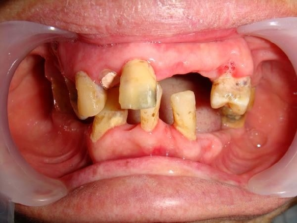
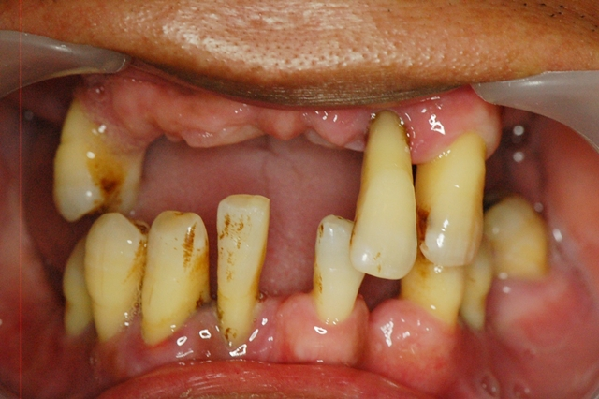
一、什么是老年牙列缺失
老年牙列缺失指由于各种原因,导致口腔内牙齿部分或全部缺失的情况。随着年龄增长,牙龈萎缩、牙釉质磨损等,都可能引发牙齿松动、脱落。从缺一颗牙到只剩一颗牙,甚至全口无牙,均属于牙列缺损或缺失的范畴。





二、牙列缺失的危害

(一)影响咀嚼和消化
牙齿缺失后,咀嚼效率大大降低,食物不能充分研细磨碎,长期如此会加重胃肠消化和吸收的负担,影响营养摄入,机体免疫力降低,导致身体出现各种健康问题,据临床观察体弱多病的老年患者,大部分患者牙列缺失,值得我们重视起来。

(二)影响面部美观和自信
牙齿缺失会导致面部塌陷,使人看起来更显苍老,影响老年人的外貌和自信心,进而可能导致自卑、焦虑等心理问题,降低生活质量。

(三)影响口腔健康
牙列缺失会使口腔菌群失衡,增加口腔各种黏膜病的风险。而且,缺牙后若不及时修复,还会对健康牙造成危害,给将来的修复造成不必要的困难。



三、牙列缺失的原因

(一)自然老化
随着年龄增长,人体各项生理机能衰退,牙釉质质地变脆弱,容易磨损,牙龈逐渐萎缩,导致牙齿松动和脱落,这是不可避免的自然过程。

(二)牙周病
牙周病是牙齿周围组织的炎症和感染,通常由牙菌斑和牙结石引起。长期未治疗的牙周病会导致牙槽骨吸收,牙齿松动甚至脱落,症状包括牙龈红肿、出血、口臭等。

(三)龋病
蛀牙主要由口腔细菌分解食物残渣产生酸性物质,腐蚀牙齿表面导致。蛀牙会使牙齿硬组织破坏,最终导致牙齿脱落。

四、修复方法

(一)固定义齿
又称固定桥,固定在缺牙间隙两侧健康牙上,患者不能自由摘戴。优点是咀嚼效率高、美观、舒适、不影响发音;缺点是安装时需磨除两侧健康牙齿的部分牙体,造成牙齿硬组织损失,且仅适用于缺牙较少的患者。

(二)可摘局部义齿
具有价格相对低廉、安装时磨牙少、能够取下清洁等优点。但咀嚼效率相对较低,体积较大时患者会有异物感。

(三)种植义齿
把人工牙根植入缺牙部位的牙槽骨内,待人工牙根和牙槽骨密合后,再进行牙冠修复。几乎可用于各种牙齿缺失后的修复,具有咀嚼效率高、美观、舒适、不损伤邻牙等优点。不过,种植牙作为一种门诊手术,对患者的全身条件、局部牙槽骨的骨量等有一定要求。

五、预防措施

(一)保持口腔卫生
坚持早晚刷牙,使用保健牙刷,选用含氟牙膏,学会正确的刷牙方法,减少患龋机会,从而降低牙列缺损的发生风险。

(二)定期口腔检查
老年人应定期进行口腔检查,以便及时发现和治疗口腔问题,如牙周病、龋病等。

(三)健康生活方式
适量运动有助于增强体质,提高口腔的抵抗力。同时,保证摄入足够的蛋白质,它是口腔修复和再生的重要营养物质。

六、呼吁
老年朋友们,口腔健康与全身健康息息相关,不要忽视牙列缺失的问题。如果您有牙列缺损修复需求,请及时到正规医院口腔科就诊,并在专业口腔科医生指导下,选择合适的方法进行修复,以获得较满意的效果。让我们一起关爱老年口腔,乐享健康生活!

扫码咨询




